Source Esanum 12/06/2024
La rupture spontanée de la vessie est une urgence urologique extrêmement rare.
Elle peut avoir une issue fatale avec un taux de mortalité d’environ 50 %.
Les causes les plus courantes de rupture vésicale spontanée comprennent
- les tumeurs malignes,
- les infections vésicales chroniques ou les inflammations,
- la radiothérapie pelvienne pénétrante,
- les diverticules vésicaux,
- une vessie neurogène ainsi qu’une obstruction de la sortie vésicale.
Une rupture spontanée de la vessie après une infection par le virus de la varicelle-zona a été rapportée pour la première fois dans le présent rapport de cas clinique datant de 2022.1,2
Le virus varicelle-zona : une cohabitation à vie
On sait qu’après un premier contact (par voie aérienne ou directement via des vésicules hautement contagieuses), le virus de la varicelle-zona reste à vie dans les ganglions rachidiens de la personne concernée.
En cas de réactivation, un zona peut apparaître.
Cette infection cutanée peut entraîner des complications au niveau du système urinaire, surtout chez les personnes âgées et immunodéprimées.
Dans ce cas, l’infection par le zona peut entraîner une rétention aiguë d’urine et des difficultés à déféquer.1
Hospitalisation en raison d’un zona avec des complications très particulières
Dans le cas présent (A Rare Case of Spontaneous Bladder Rupture in a Herpes Zoster Patient, doi : 10.2147/IDR.S380752), la réactivation de l’infection par le zona a touché un homme de 77 ans ayant des antécédents d’hypertension artérielle et de diabète de type 2 depuis 10 ans.
Une semaine avant son hospitalisation d’urgence en raison d’une rupture de la vessie d’origine infectieuse, il avait reçu un traitement antiviral, analgésique et nutritionnel pour son infection par le virus de l’herpès zoster dans la région sacrale (voir image 1).
Sa thérapie comprenait 0,3 g de valaciclovir 2 fois par jour par voie orale, 0,25 g de diflunisal 2 fois par jour par voie orale ainsi que 0,5 mg de méthylcobalamine 3 fois par jour par voie orale.1
Image 1 : Zona dans la région cutanée des segments sacrés des nerfs spinaux S2-S4.1
Paramètres vitaux anormaux, tension abdominale et sensibilité au rebond
Peu avant son admission à l’hôpital, le patient s’est plaint de douleurs abdominales et d’une légère dyspnée.
Une fois à l’hôpital, le patient a signalé qu’il avait des difficultés à uriner et à déféquer depuis quatre jours.
Aucun traumatisme n’était présent dans ses antécédents.
Une nette distension de l’abdomen dolent à la pression a été constatée. La tension de défense et la sensibilité au rebond soulignaient l’urgence de la situation. Les paramètres vitaux étaient également anormaux :
- Fréquence cardiaque de 136 battements par minute
- Pression artérielle de 170/99 mmHg
- Fréquence respiratoire de 22 respirations par minute.
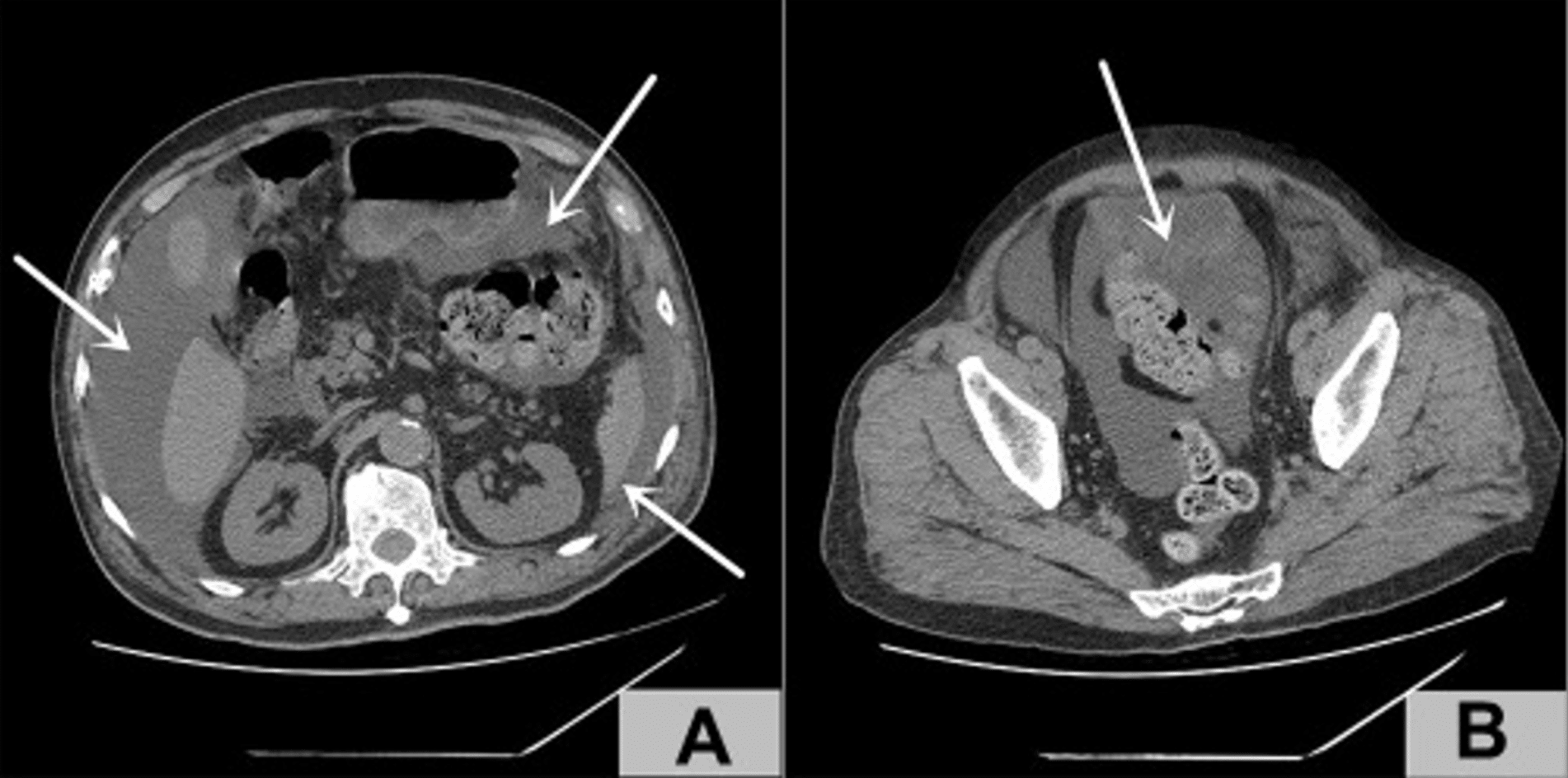
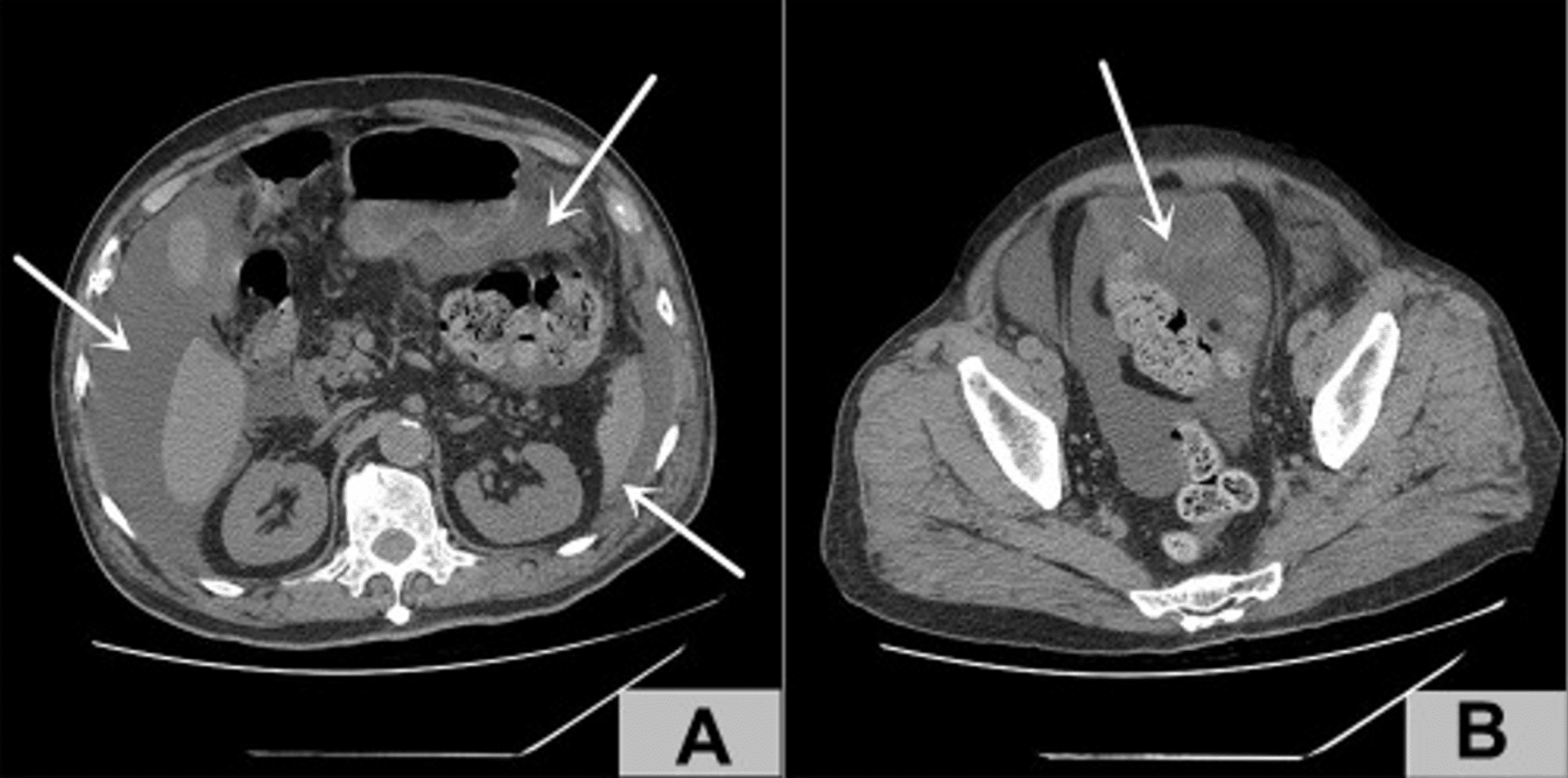
- Aspects massifs d’ascite à la tomodensitométrie (CT)
L’équipe médicale sur place a voulu examiner les difficultés de défécation et a réalisé un examen digital rectal.
Il n’a révélé qu’une hypertrophie de la prostate sans nodules palpables.
Des examens complémentaires ont révélé une ascite massive : une quantité importante de liquide dans la région de l’abdomen et du bassin a été visualisée par tomodensitométrie abdominale. Le côlon était fortement distendu.
Ce n’est qu’à ce moment-là que l’équipe médicale a envisagé une rupture vésicale due à l’infection par le virus varicelle-zona.
Un tel cas n’avait jamais été reporté auparavant.1
Image 2 : Dans la section A de l’image, les flèches blanches indiquent l’accumulation de liquide dans l’abdomen. Dans la partie B de l’image, la flèche blanche indique l’endroit où la rupture de la vessie a été suspectée.1
Transfert urgent en soins intensifs
L’examen des valeurs sanguines a révélé une acidose métabolique avec hyperkaliémie. Le taux de potassium était de 6,53 mmol/l, le taux de créatinine de 558 μmol/l et le taux de D-dimères de 6,93 mg/l. L’analyse des gaz sanguins a permis de constater une hypoxie. Le patient a été transféré en soins intensifs pour la poursuite des soins et la stabilisation des valeurs sanguines.1
Rétablissement complet de la fonction vésicale après une intervention chirurgicale
Un cathéter a permis de drainer un total de 3300 ml d’urine sanglante sur une période de 3 heures. La rupture vésicale intrapéritonéale d’origine infectieuse a ensuite été traitée chirurgicalement.
En peropératoire, l’équipe médicale a pu localiser une déchirure d’environ 2 cm sur la paroi de la vessie.
En postopératoire, le patient a reçu 2 g de cefopérazone/sulbactam toutes les 8 heures.
Dès le deuxième jour postopératoire, les valeurs rénales du patient sont redevenues normales.
Le 3e jour, la défécation était rétablie et le 13e jour postopératoire, le cathéter vésical a enfin pu être retiré.
Le traitement contre l’herpès zoster, d’une durée de 2 à 3 semaines, a favorisé la normalisation des fonctions de miction et de défécation du patient.1
La propagation virale à l’intérieur des nerfs comme cause
L’équipe médicale a émis l’hypothèse que le dysfonctionnement du système urinaire était dû à la propagation de l’infection virale à l’intérieur des nerfs périphériques, y compris les nerfs sensitifs innervant la peau dans la région sacrale (S2-S4), la vessie et le côlon distal – ainsi que des neurones moteurs parasympathiques.1
Conclusion pour la pratique : le zona dans la région sacrale est extrêmement dangereux
Le zona dans la région sacrale peut s’accompagner de troubles urinaires pouvant entraîner une rétention urinaire aiguë. En cas de rétention urinaire aiguë lors d’une infection par le virus de la varicelle-zona, une intervention urgente est nécessaire pour éviter une rupture vésicale.1
- Huang J. et al. (2022). A Rare Case of Spontaneous Bladder Rupture in a Herpes Zoster Patient. Infect Drug Resist. 2022 Sep 5;15:5193-5196.
- Simon L. V. et al. (2024).Bladder Rupture. StatPearls Publishing LLC.




